生活に影響がでできます
「食べる」・「話す」と言った事は人が生きていく上で大変重要な機能です。適切な入れ歯を使わないと「入れ歯が合わなくて食事が上手にできない」・「すぐに落ちてくるから人前では大きく笑えない」と言った様に生活にまで影響が出てしまいます。
義歯(入れ歯)の治療
ごきそ歯科の院長は義歯(入れ歯)の治療を得意分野としております。インプラント一辺倒になりがちな最近の歯科治療ですが、長年、義歯(入れ歯)の治療に携わってきた知識、技術を生かし、具合のよい義歯を患者さんに提供できたらと考えております。
ごきそ歯科での義歯の症例をいくつかご紹介いたします。義歯でお困りなことがありましたらなんなりとご相談ください。
義歯(入れ歯)治療を担当するごきそ歯科 院長のプロフィールはこちら。
入れ歯治療の症例
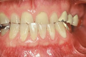
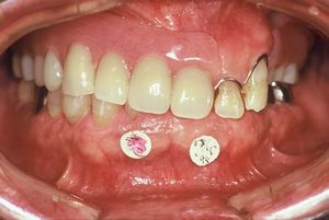
症例(1)
1.噛み合わせと審美性に問題がある症例です。

2.下顎の局部義歯(パーシャルデンチャー)にて噛みあわせの改善を図ります。

3.磨り減った上顎前歯部はセラミッククラウンにて修復しました。

4.「中日新聞」に義歯はゆるい方が調子よいですよ!という記事で掲載されました。

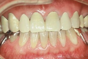
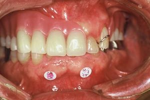
症例(2)
1.カリエス(虫歯)、歯周病、欠損などの多くの問題があります。

2.基本治療が終了したところです。

3.義歯により上下の噛み合せの確保と審美性を回復しました。

4.同部の金属床義歯です。

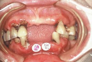
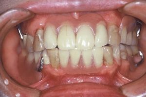
症例(3)
1.古い義歯は歯並びが傾いています。

2.新しい義歯です。歯並びが正しくなると見た目もよくなります。

義歯に関するご質問を頂いた患者さんからは歯周病治療や予防歯科治療に関してのご質問を頂いております。 ご覧ください。


